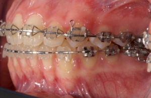
festsitzende Therapie

bestehend aus Brackets, Bändern und Bögen aus Metall oder Keramik zur Korrektur von Zahnfehlstellungen

Metallbrackets

Keramikbrackets

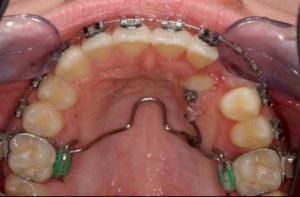
Apparatur zur Beseitigung verlagerter Eckzähne
(Transpalatinalbogen mit Peitsche)

festsitzende Bisslagekorrektur (Jasper-Jumper)